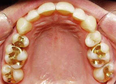
Conservative Gold Restorations
Gold has a long history as a premier dental restoration. It is the strongest and most reliable dental material available. We know that our patients want a conservative, predictable, and long lasting restoration that also provides long-term protection. Gold restorations have exceptional durability when placed, but it requires specific training and expertise to achieve optimal results. Both Dr. Melzer and Dr. Robinson have studied this technique with The Academy of R.V. Tucker Study Club which specializes in conservative gold restorations.
Inlays and Onlays
Inlays and onlays are often referred to as “partial crowns.” They use the existing tooth as a foundation and fit into (inlay) or onto (onlay) the tooth. This is done to strengthen the tooth, restore its shape, and prevent further damage.
An inlay is done when there is no damage to the cusps of the tooth and it can be placed right on the tooth.
An onlay is used when the damage is a more extensive and the restoration must cover more of the tooth surface.
